thousandoaksfamilydentistry.com

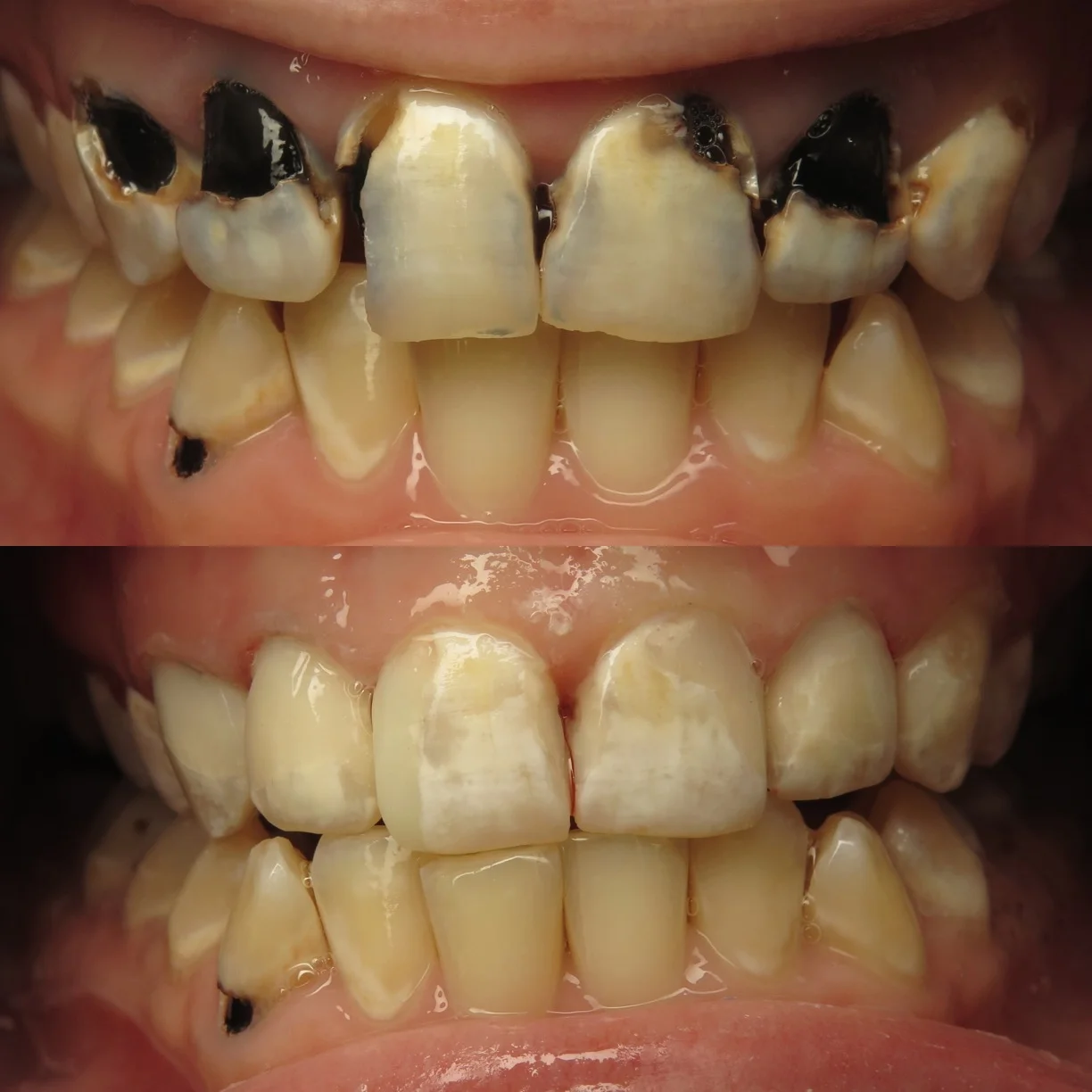
Today’s case is a typical example of a condition called “Mountain Dew mouth.” It shows how rampant decay develops and what we can do to repair and intervene. Before describing what we did, it is important to note that home care and diet are key in stopping the spread of cavities. All the dentistry in the world won’t help unless we can disrupt the decay causing bacteria!

We typically see Mountain Dew mouth in younger patients who haven’t seen a dentist in a few years. Sugary drinks (such as Mountain Dew) create the perfect storm for rampant dental decay. They can contain as much as 46 grams of sugar per 12 ounce serving, more than enough to feed the bacteria in your mouth and start the decay process. The liquid is both sticky and acidic, making it efficient at evenly coating and softening all enamel surfaces. Finally, these drinks usually consumed over a long period of time. Duration, not quantity, is the important factor in the tooth decay process. The same 46 grams of sugar wouldn’t be nearly as destructive if they were consumed quickly and not allowed to bathe the teeth.

This patient came to us with dark stained decay around the necks of their front teeth. These areas take the majority of liquid exposure when we drink, and thus tend to decay first. You can also spot dark shadows around the sides of the teeth, signifying more decay beneath the enamel surface. None of the cavities on the front teeth extended to the dental pulp, meaning root canals or extractions weren’t immediately necessary. Unfortunately, some of the molars did have extensive decay and will need to be removed at a future appointment.

We proceeded to remove all decayed and compromised enamel. This process is very delicate, as we want to be thorough while leaving as much sound tooth structure as possible.  Once the decay was gone, we filled the teeth using a combination of glass ionomer and composite tooth colored materials. Glass ionomer is great for repairing rampant decay, as it both bonds to the tooth structure and releases fluoride on to the remaining enamel. In contrast, composite allows us to recreate difficult contours and best match the cosmetics of natural teeth. The entire procedure took us a single appointment, and the patient left our office with a beautifully restored smile!


Again, it is important to note that all of our restorative work will come undone unless this patient can stop the intake of sugary drinks and keep up with their daily brushing and flossing. While fillings and crowns can remove active dental decay, only proper hygiene AND healthy diet choices can stop the bacteria’s progress. If you would like to know more about dental decay, what foods cause it or how to intervene, please contact our office.

Comment